Now accepting Canadian Dental Care Plan

Our Smile Gallery
Real Smiles. Real Results.
See real patients and real transformations from a practice trusted by over 1,000 five-star Google reviewers.
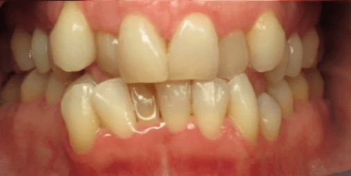
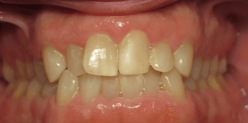
Before

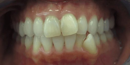
After

Incomplete Fastbraces case, patients moved before we could complete treatment however, we able to treat severe crowding in 8 months.
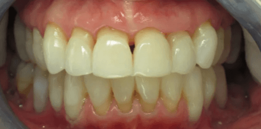
Before

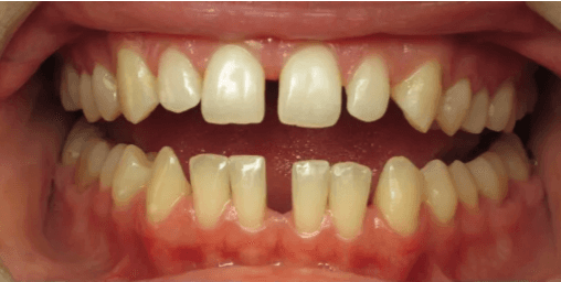
After

Invisalign and porcelain veneers to correct bite, tooth size issues.
Before

After

Fastbraces and four porcelain crowns to change the bite and aesthetic issues.
Before

After

Dark triangles between teeth were closed with porcelain crowns.
Before

After

Ten porcelain veneers transformed short and worn teeth.
Before

After

One crown matched to the adjacent teeth to treat a decaying dark tooth.
Before

After

Full mouth rehabilitation with crowns and dental implants
Before

After

Invisalign and 10 veneers corrected the deep bite and expanded the smile. Porcelain Veneers transformed smile.
Before

After

Invisalign treated bite and spacing problems.
Before

After

Invisalign corrected crowding issues.
Before

After

Incomplete Fastbraces case, patients moved before we could complete treatment however, we able to treat severe crowding in 8 months.
Before

After

Invisalign and porcelain veneers to correct bite, tooth size issues.
Before

After

Fastbraces and four porcelain crowns to change the bite and aesthetic issues.
Before

After

Dark triangles between teeth were closed with porcelain crowns.
Before

After

Ten porcelain veneers transformed short and worn teeth.
Before

After

One crown matched to the adjacent teeth to treat a decaying dark tooth.
Before

After

Full mouth rehabilitation with crowns and dental implants
Before

After

Invisalign and 10 veneers corrected the deep bite and expanded the smile. Porcelain Veneers transformed smile.
Before

After

Invisalign treated bite and spacing problems.
Before

After

Invisalign corrected crowding issues.

Ready to Start
Contact us today by phone or our appointment form. We look forward to meeting you.

Opening Hours
Monday - Friday
08:00-16:30
Saturday
Closed
Sunday
Closed
Office Location
Contact Info

Opening Hours
Monday - Friday
08:00-16:30
Saturday
Closed
Sunday
Closed
Office Location
Contact Info

Opening Hours
Monday - Friday
08:00-16:30
Saturday
Closed
Sunday
Closed
Office Location
Contact Info